• Cream bar
  • Cream bar
  • Cream bar
  • Cream bar
  • Cream bar
  • Cream bar
  • Cream bar
  • Cream bar
Javascript Slideshows by WOWSlider.com v4.8
Stomatološka ordinacija za savremenu i estetsku stomatologiju
Oralna hirurgija
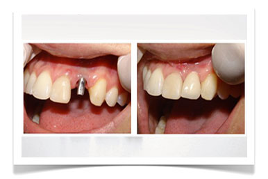
ORALNA HIRURGIJA Sve oralno-hiruške intervencije se obavljaju u lokalnoj anesteziji sa ili bez antibiotske predpripreme i ne traju duže od standardnog stomatološkog tretmana.

Najčešće intervencije su :

  • hiruško vadjenje zuba i zaostalih korenova
  • apikotomija ili skraćivanje vrha korena zuba i njegovo čišćenje od infekcije
  • otklanjanje viličnih cista sa nadoknadom vilične kosti
  • rekonstrukcija usnih i podjezičnih resica
  • preprotetska priprema viličnih grebena za buduće proteze

POGODNOSTI
Pišite nam putem elektronske pošte:
E-mail: maja_malovic@yahoo.com

Oralna hirurgija

All rights reserved © 2014 Stomatološka ordinacija Malović - Kosanović

Pridružite nam se